Skip to main content

"We've detected that you're visiting from {0}. Would you like to switch languages for tailored content?"

About the Case

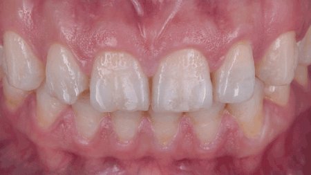
A 35-year-old female patient presented with an enamel defect after completing orthodontic treatment. The defect affected the buccal surfaces of her maxillary anterior teeth and she wanted to improve the esthetic appearance of these teeth. The patient asked for a solution that not only covered the defects, but also made the teeth appear whiter. She already had undergone a home-bleaching treatment. Based on three different treatment options presented, the patient selected a direct composite veneer approach.

Challenge

The selected treatment was a non-prep procedure. Only the aprismatic enamel needed to be removed. This allowed the healthy tooth structure to be preserved. Hence, a single layer of composite would be sufficient to restore the teeth. This made it particularly important to choose the right composite shade.

Outcome

The patient desired glossy surfaces and bright teeth, and this was achieved with the single opacity 3M™ Filtek™ Universal Restorative Extra White (XW). It’s the material of choice for single-shade technique as its creamy handling facilitates composite modeling, its polishing properties are great and the outcomes are highly esthetic.
Before smile
INITIAL SITUATION: An enamel defect was visible on the buccal surfaces of the maxillary central and lateral incisors.
Exclusive view of the affected maxillary teeth.
Affected maxillary teeth
Surface irregularities
Lateral view revealed the severity of the surface irregularities caused by the enamel defect.
Tooth shade was determined with the VITA classical A1-D4® shade guide. The tooth shade was B1, which matched 3M™ Filtek™ Universal Restorative’s B1 shade. However, since the patient asked for brighter teeth, the Extra White (XW) was used instead.
The working field was isolated with a rubber dam. Due to an orthodontic retainer on the palatal side of the patient’s anterior teeth, it was not possible to place a rubber dam.
Enamel was etched using 3M™ Scotchbond™ Universal Etchant for 15 seconds after the surface was cleaned with 3M™ Clinpro™ Glycine Prophy Powder and aprismatic enamel was removed with a 3M™ Sof-Lex™ Extra-Thin Contouring and Polishing disc (coarse).
Etched enamel
Appearance of the teeth after 3M™ Scotchbond™ Universal Adhesive was applied and a single layer of Filtek Universal Restorative Extra White shade (XW) was placed and light cured for 10 seconds. The patient’s expectations were met upon seeing the high value of the direct veneers.
FINAL RESULTS: Treatment result after the 3M™ Sof-Lex™ Diamond Polishing System was used to finish and polish. The restorations showed an impressive initial gloss. As with all 3M™ Filtek™ composites containing nanotechnology, Filtek Universal Restorative offers great polish retention as well.
Final results