Clinical Case: A combined approach to solving a multifactorial esthetic challenge.
August 17, 2022 | Dr. Vilhelm Grétar Ólafsson, DDS, MSc.
About the Case
A 33-year-old woman sought treatment due to an unsatisfactory smile. Her chief complaints were a factured crown, misalignment between her central incisors (one being an implant) and diastemas between her incisors. She mentioned that she felt that the spaces had progressively become bigger over the years. Her central incisors had suffered trauma about 20 years ago, which eventually resulted in the loss of her right central incisor. That was replaced with an implant when she was 20 years old. The implant and left central incisor were then restored with all-ceramic crowns. Eleven years later the crowned implant is in infraposition and slightly more labial compared to the surrounding teeth. This tends to happen with anterior implants as they do not follow the surrounding teeth in passive eruption creating esthetic challenges for the restorative dentist. The following case shows an example where alignment, gingival levels, proportions, material choice and diastema all create unique challenges for a functional and esthetic outcome. Refer to Instructions for Use (IFU) for complete product information. Results may vary.
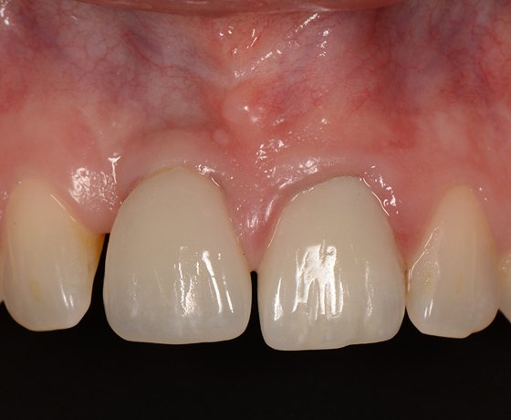
Pre-operative situation: Infraposition of implant-supported crown in relation to surrounding teeth is evident.
Labial soft tissue and bone recession around implant and semi-lunar fracture lingually of crown on left central incisor.
Diagnostic wax-up: widening of both lateral incisors, as well as corrected crown contours for the central incisors.
The diastema were closed with the aid of sectional matrices used in a vertical manner. A small amount of 3M™ Filtek™ Supreme Flowable Restorative was placed cervically and light-cured, to allow placement of a wedge, to support the matrix and allow a tighter proximal contact. Restoration was made with 3M™ Filtek ™ Supreme Ultra Universal Restorative shade A2B.
A customized zirconia abutment is placed. Retraction cord has been placed around the abutments to provide a dry field for cementation. The abutment tooth is cleaned with pumice and water.
After try-in, the zirconia crowns were cleaned and 3M™ Scotchbond™ Universal Plus Adhesive was then applied, air-thinned but not light cured to give maximal retention. This step is optional.
3M™ RelyX™ Universal Cement shade white opaque is applied to the intaglio surface of the crowns.
After seating and tack-curing 2-3 seconds, the excess cement is easily removed with a sharp instrument, such as an interproximal scaler.
Post-operative view after three months.
Refer to Instructions for Use (IFU) for complete product information. Results may vary.