Clinical Case: Total-etch Adhesive Bonding of a Chairside CAD/CAM Glass Ceramic Overlay
March 1, 2022 | Dr. Stergios Zafiriadis
About the Case
The 61-year-old female patient had a fractured cusp and secondary caries on tooth 35. The tooth was restored with a Straumann® n!ce® A2 HT overlay manufactured in a chairside CAD/CAM process. 3M™ Scotchbond™ Universal Plus Adhesive was used as restoration primer and tooth adhesive with a total-etch technique. 3M™ RelyX™ Universal Resin Cement was used as the cement.
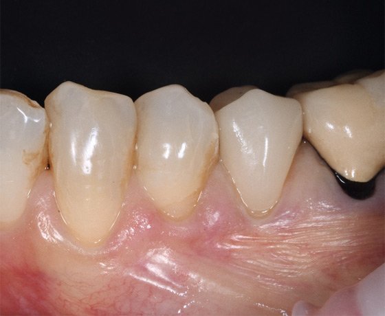
Initial situation.
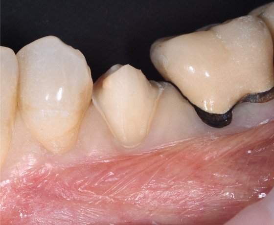
Preparation.
Try-in of glass ceramic overlay.
HF etching.
Application of 3M™ Scotchbond™ Universal Plus Adhesive as silane primer.
Preparation ready for bonding.
Total-etch technique using 3M™ Scotchbond™ Universal Etchant.
Application of 3M™ Scotchbond™ Universal Plus Adhesive.
Application of 3M™ RelyX™ Universal Resin Cement.
Sealing of the restoration.
Excess cement clean-up.
Light curing.
Final result.
Refer to Instructions for Use (IFU) for complete product information. Results may vary.