Skip to main content

"We've detected that you're visiting from {0}. Would you like to switch languages for tailored content?"

About the Case

The female patient was referred because of problematic central incisors restored with old PFM crowns, having insufficient endodontic treatment. Both crowns were removed and after endodontic retreatment and core build-up provisional crowns made of 3M™ Protemp™ Plus Temporization Material were placed. The patient paused the treatment and returned after eight years with the same Protemp Plus crowns. The case was finished with lithium disilicate glass ceramic crowns, cemented with 3M™ RelyX™ Universal Resin Cement and 3M™ Scotchbond™ Universal Plus Adhesive in the total-etch technique.
Initial situation.
Removal of PFM restorations.
Stumps after removal of build-up
Stumps after removal of build-up.
Final preparations with new core build-up.
Temporary crowns made with 3M™ Protemp™ Plus Temporization Material.
Provisional crowns after eight years in situ.
Provisional crowns after eight years in situ
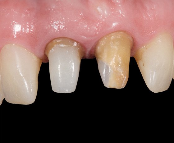
Provisionals removed
Provisionals removed.
HF etching of bonding surface.
Priming adhesive after application with 3M™ Scotchbond™ Universal Plus Adhesive.
Preps ready for pre-treatment.
Total-etch technique.
Application of 3M™ Scotchbond™ Universal Plus Adhesive after application.
Application of adhesive after application
Air-drying adhesive
Air-drying adhesive.
Seated crowns.
Excess cement clean-up with brush.
Excess cement clean-up with brush
Covering of margins with glycerin gel.
Final light-cure.
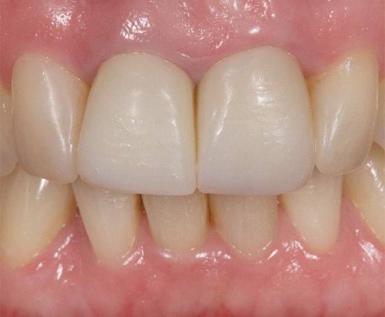
Final result.