Skip to main content

"We've detected that you're visiting from {0}. Would you like to switch languages for tailored content?"

About the Case

Children have a very short attention span. Hence, the treatment needs to be carried out quickly. For these cases, dentists need easy-to-use materials that help change a high caries risk oral environment into one which is healthier and less prone to disease. In our dental office, children who don‘t necessarily need an invasive treatment are usually given a fluoride boost with 3M™ Vanish™ 5% Sodium Fluoride White Varnish during regular check- ups. This varnish contains fluoride, calcium, and phosphate – all important for building strong teeth. When a direct restorative treatment is required in one of our restless children, we usually use 3M™ Ketac™ Universal Aplicap™ Glass Ionomer Restorative. The bulk fill material eliminates many of the time-consuming work steps usually required and provides a high level of protection by releasing fluoride over a period of at least 24 months.
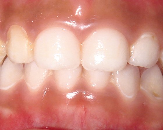
Early enamel lesions
Initial situation with some early enamel lesions.
3M™ Vanish™ 5% Sodium Fluoride White Varnish applied regularly on teeth showing at risk enamel surfaces led to a stable situation over 3 years.
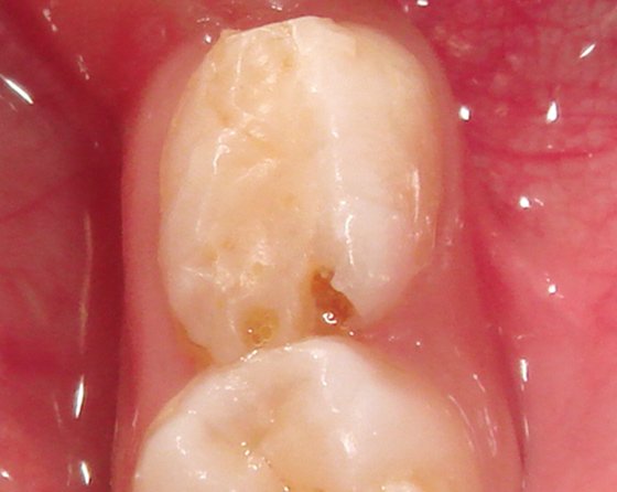
Tooth showed secondary decay
In the 4th year, tooth #84 showed secondary decay under an existing composite restoration.
3M™ Ketac™ Universal Aplicap™, a fluoride releasing glass ionomer restorative, was selected for a high level of protection.
Old restoration was removed
Old restoration was removed, and caries excavated.
Isolation of the prepared tooth using a T-Band Matrix and a wedge.
Bulk placement of the glass ionomer restorative into the cavity.
Newly restored tooth #84.
Newly restored tooth
Intact restoration after 12 months
Intact restoration after 12 months.