Skip to main content

"We've detected that you're visiting from {0}. Would you like to switch languages for tailored content?"

About the Case

The 47-year-old female patient presented with a heavily destroyed tooth 15 and the strong wish to keep the tooth by any means. Key step of the planned approach was the magnetic extrusion of the root after root canal treatment. After core build-up with a post, a full-contour zirconia crown was placed. 3M™ RelyX™ Universal Resin Cement was used for self-adhesive cementation of both the 3M™ RelyX™ Fiber Post 3D and the 3M™ Lava™ Esthetic Full-Contour Zirconia Crown. 3M™ Scotchbond™ Universal Plus Adhesive and 3M™ Filtek™ One Bulk Fill Restorative were employed for the core build-up.
Initial situation, occlusal view.
Situation after endodontic treatment and three weeks of extrusion by magnets fixed on the root and on a splint.
Preparation of the root canal
Preparation of the root canal.
Try-in of the 3M™ RelyX™ Fiber Post 3D for length determination.
Cleaning of the 3M™ RelyX™ Fiber Post 3D with alcohol after length adjustment.
Rinsing.
Rinsing
Drying with paper tips
Drying with paper tips.
Application of 3M™ RelyX™ Universal Resin Cement with elongation tip.
After post placement: Application of 3M™ Scotchbond™ Universal Plus Adhesive for core build-up followed by light-curing.
Light-cure of the 3M™ Filtek™ One Bulk Fill Restorative core build-up.
Light-cure of the composite core build-up
Preparation.
Provisional restoration in place.
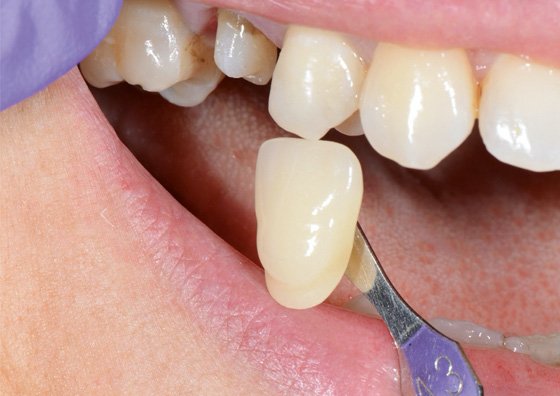
Try-in of the 3M™ Lava™ Esthetic Full-Contour Zirconia Crown.
Sandblasting of the 3M™ Lava™ Esthetic Full-Contour Zirconia Crown.
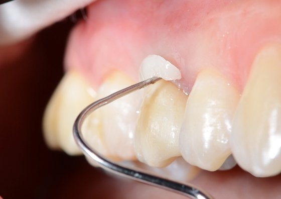
Excess clean-up of 3M™ RelyX™ Universal Resin Cement after tack-curing.
Excess clean-up of resin cement after tack-curing
Final situation.