Clinical Case: Replacement of a Composite Restoration
February 5, 2020 | Dr. Gunnar Reich
About the Case:
A patient needed a replacement of a fractured composite on the first lower molar. Impression was made with 3M™ Impregum™ Penta™ Super Quick Medium Body Polyether Impression Material in the monophase technique.
Initial situation: Fractured old composite restoration of first lower molar.
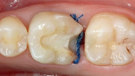
Deep distal preparation with bleeding from inflamed gingival tissue.
Challenging moisture control and bleeding managed by using soaked retraction cord.
Impression was taken with the monophase technique. Syringing of 3M™ Impregum™ Penta™ Super Quick Polyether Impression Material (Medium Body) around preparation with the 3M™ Penta™ Elastomer Syringe.
Final monophase precision impression made of 3M™ Impregum™ Penta™ Super Quick Polyether Impression Material (Medium Body).
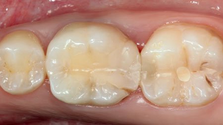
Final situation: 3M™ Lava™ Esthetic Fluorescent Full-Contour Zirconia restoration cemented with 3M™ RelyX™ Unicem™ 2 Self-Adhesive Resin Cement.
Refer to instructions for use for complete product information. Results may vary.