Skip to main content

"We've detected that you're visiting from {0}. Would you like to switch languages for tailored content?"

Where will shortcuts in your indirect restoration procedure take you? Unfortunately, the final destination could be failure. This is exactly what happened to me when I accepted a case with a shade prescription and impression quality barely sufficient to produce a temporary restoration. The adjacent teeth were not properly reproduced in the impression and relevant shade details were missing. However, I decided against taking the long route, i.e., asking the dentist to have the patient return to retake the impression. Instead, I pushed my luck and produced a crown based on the records I had. The fit and shade match of the resulting restoration were so bad that a remake was the only acceptable option – which included the second impression and shade determination procedure I had tried to avoid. But an earlier retake would still have been little more than the lesser of two evils. The preferred way to complete an indirect restoration is to do it right the first time – every time. Thankfully, this is not mission impossible, but an achievable goal – provided all members of the restorative team opt for careful planning, structured workflows and flawless communication. Unfortunately, many dental practitioners, assistants and technicians seem to struggle with the communication part of the equation. Quite often, the laboratory receives an incoming order with only an impression and bite registration, plus written information about the type of restoration (“bridge 14-16”), the determined tooth shade (“A3”), the desired material (“ceramics”) and the requested delivery date. Other relevant details – like which type of ceramic material or intraoral photographs etc. – are missing. When the restoration arrives in the dental office, the team struggles with a lack of information from the lab as well. Too often, not a single word is left about the selected restorative material, the pre-treatment measures already carried out (sandblasted or etched), and the steps still to be taken. When this important information is missing, the team partners have two options: to guess what is to be done, or ask for details. While the former option more often than not compromises quality (of the restoration or the bond), the latter is time-consuming and unpleasant for everyone involved. The better strategy is to sit down with the lab or practice partner and establish a standardized way of communicating. The checklists created as part of the Success Simplified program are a great starting point.

Order form

If you fill out the order form completely in your dental office, you ensure that the dental laboratory receives all the essential information to start producing the restoration. The form should be provided together with clinical photographs, a face bow, a picture of the prepared teeth, or photos with the selected tabs of the shade guide placed next to the teeth (figures 2 through 4).

Informative oral care related imagery with a file name of 17030-fTCP-alone-tooth-850x850-1.png shown on Solventum's "Brain Floss" blog

Example of a completed order form for the complex case below. Clinical images courtesy of Prof. Daniel Edelhoff

Intraoral photograph of the quadrant to be restored after tooth preparation.

Intraoral photographs with shade tabs.

This order form helps the team members capture all the relevant details. For example, let us explore an extreme case: A patient with a specific type of implant, a dysfunction dynamic occlusion through a lack of canine guidance, and a non-vital, discolored incisor warrants a complete reconstruction with all-ceramic materials. Unfortunately, the patient also suffers from allergies and is getting married in two weeks’ time. Without detailed information, including a functional analysis, the implant pass, clinical photographs documenting the condition of the teeth (e.g., the level of discoloration and an allergy-related material suggestion) there is no chance for the dental technician to produce anything but failure. Even in less extreme cases, we need to be aware of the fact that every restoration is a custom-made medical product, and its quality is highly dependent on the information provided. Using our checklist, the dental office ensures that this essential information is thorough and complete, and the dental technicians can make full use of their skills.

Informative oral care related imagery with a file name of 17030-Feature-image-560x400-1.png shown on Solventum's "Brain Floss" blog

Complex clinical situation with a rare type of implant and discoloration of prepared teeth.

Informative oral care related imagery with a file name of FUR_CC_Direct_Anterior_Solution_Manauta_5.jpg shown on Solventum's "Brain Floss" blog

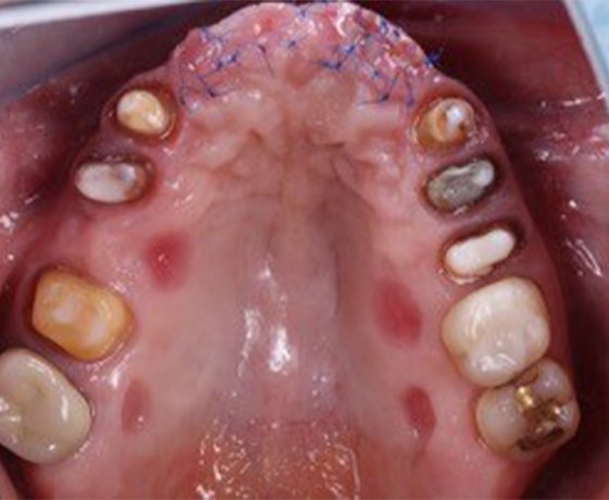
Occlusal view of a patient’s maxilla following an augmentation procedure in the anterior region and preparation of the canines and most of the posterior teeth.

All clinical images courtesy of Prof. D. Edelhoff

Cementation guide

Information essential for try-in and restoration placement is transferred to the dental office with the aid of the cementation guide. It specifies the type of restorative material at hand, informs the practice team of required pre-treatment measures and whether this pre-treatment has already been completed in the dental laboratory, along with cement recommendations. With this information, it is easy to create ideal preconditions for a durable bond and good esthetics.

Completed cementation guide arriving with the final restoration.

My own experience shows that cementation is one of the most critical steps in the restoration procedure. Unlike impression taking or creating a temporary restoration, the cementation procedure cannot simply be repeated or corrected if a mistake is made, such as performing the wrong pre-treatment or selecting the wrong cement. The workflow needs to be precisely adjusted to the restorative material in use and the preparation design selected. Therefore, the use of this guide is strongly recommended.

Conclusion

Informative oral care related imagery with a file name of FUR_CC_Direct_Anterior_Solution_Manauta_4.jpg shown on Solventum's "Brain Floss" blog

Simplified checklists give all the information necessary for the lab to produce good results, even if communication is difficult – and a bit scrambled.

After my painful experience with the shortcut described earlier, I decided to sit down with the dental practitioner to analyze our failure. In this specific case, several different factors, including time pressure and the patient’s sensitive gag reflex were the cause of the problem. While the checklists will never solve these clinical issues, they do make us think about the next steps in the procedure, the requirements to be satisfied and the quality of the work provided. The dentist was sure utilizing and completing the new order form prevented him from sending incomplete records. The targeted objective: to do it right the first time – every time! The last part of this series focuses on the dental practitioner’s view and will shed light on additional checklists available.