Skip to main content

"We've detected that you're visiting from {0}. Would you like to switch languages for tailored content?"

About the Case

For some children, the time they spend in the dental chair simply cannot be short enough. They cannot sit still for more than a few minutes and are too curious about what is going on in their mouth. In these cases, every step in a treatment procedure that could be saved is a step too much. This is why – in these specific cases – dentists prefer to use a restorative material that is designed to help save work steps and time, such as 3M™ Ketac™ Universal Aplicap™ Glass Ionomer Restorative from 3M. With Ketac™ Universal restorative, the number of treatment steps is minimized. There is no need for conditioning, protective coating and light-curing. In-vitro tests with and without coating showed unchanged mechanical properties. The material is just mixed, placed in a bulk, modeled and finished, allowing our little patients to jump out of the chair after a very short time, as shown in the following clinical example.
Initial situation
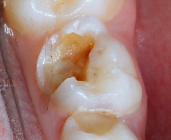
Initial situation: A 10-year-old boy presented with a fractured primary first molar in the mandible. Isolation process is complicated due to copious amounts of saliva.
Lingual involvement of the fractured tooth which is close to the gingival margin
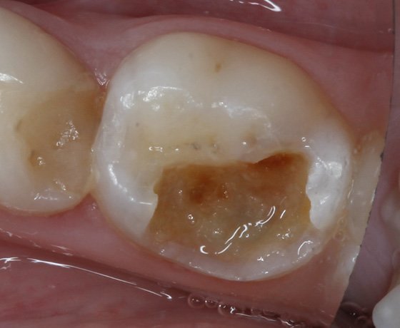
Preparation
Occlusal view of the carious lesion tooth. A medium excavator was used to determine the depth of the affected (darker) dentin under the infected dentin.
3M™ Ketac™ Universal Aplicap™ Glass Ionomer Restorative with no need for conditioning and coating – this helps reduce chair-time!
Application of adhesive
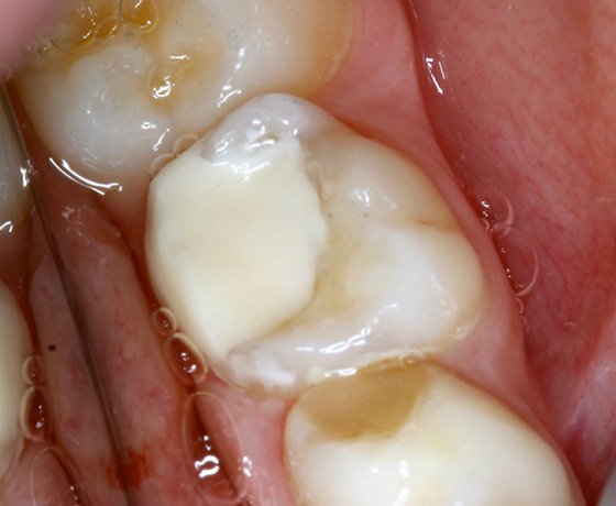
Isolation was obtained with low volume suction, cotton rolls and adult matrix band to decrease the incidence of saliva contamination.
Pre-op situation with reduced saliva.
Preparation ready for bonding
bite-wing radiograph
Post treatment situation immediately after petroleum jelly removal.