Clinical Case: Self-adhesive Cementation of a 6-unit Anterior Zirconia Bridge
September 15, 2021 | Dr. Andreas W. Benecke
About the Case
This 45-year-old patient presented with several missing teeth, tooth decay and the primary wish of rehabilitation of the anterior zone. After consultation on functional, esthetic and economical aspects a 6-unit monolithic zirconia bridge on four abutment teeth was chosen for the anterior reconstruction. In this case the optional priming of the zirconia with 3M™ Scotchbond™ Universal Plus Adhesive was done after sand-blasting. On the tooth side a self-adhesive protocol was employed with 3M™ RelyX™ Universal Resin Cement.
Initial situation.
Final preparations ready for seating.
Try-in.
Sandblasting pre-treatment.
Priming with 3M™ Scotchbond™ Universal Plus Adhesive.
Application of 3M™ RelyX™ Universal Resin Cement.
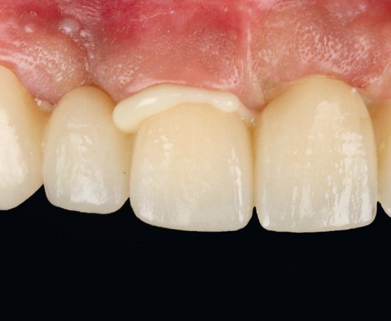
Seated zirconia bridge with cement excess.
Cement excess clean-up.
Final result.
Refer to Instructions for Use (IFU) for complete product information. Results may vary.