Skip to main content

"We've detected that you're visiting from {0}. Would you like to switch languages for tailored content?"

About the Case

Patient came with light pain on the left upper side, the clinical evaluation showed the presence of a caries on distal side of the right first upper premolar, which was confirmed by the periapical x-ray. The treatment plan consisted of a class II, OD (occluso-distal) restoration using 3M™ Scotchbond™ Universal Plus Adhesive and 3M™ Filtek™ Universal Restorative, Shade A2. After total isolation with rubber dam, the caries was removed, all the procedures related to the adhesive were made and the composite material was placed and polished using 3M™ Sof-Lex™ Polishing System.
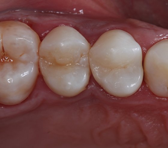
Initial situation (occlusal view)
Initial situation. Occlusal view.
After isolation with rubber dam and preparation.
Selective enamel etching
Selective enamel etching - phosphoric acid gel was applied for 15 seconds, rinsed and lightly dried.
Application of 3M™ Scotchbond™ Universal Plus Adhesive on dentin, rubbing in for 20 seconds, air-drying for 5 seconds and light curing for 10 seconds.
After the placement of the 3M™ Filtek™ Universal Restorative composite, shade A2.
Polish the restoration with 3M™ Sof-Lex™ Pre-Polishing Spiral, applying the first step pre-polishing spiral.
Applying the second step
Applying the second step 3M™ Sof-Lex™ Diamond Polishing Spiral.
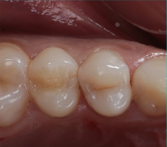
Final result.
Final result