Skip to main content

"We've detected that you're visiting from {0}. Would you like to switch languages for tailored content?"

About the Case

A patient with the history of agenesis of lateral incisors received orthodontic treatment and six feldspathic veneers for the upper anteriors. Eight years later, the veneers on teeth 11 and 21 broke in a sport accident and were temporarily repaired with 3M™ Filtek™ Supreme Ultra Universal. Six months later the old veneers were removed and new feldspathic veneers were placed with 3M™ RelyX™ Universal Resin Cement and 3M™ Scotchbond™ Universal Plus Adhesive using the total-etch technique.
Initial situation
Initial situation. Veneers on teeth 11 and 21 repaired with 3M™ Filtek™ Supreme Ultra Universal Restorative composite.
Palatal view showing incisal edge crack on veneer on tooth 11.
Final preparations
Final preparations.
HF etching of bonding surface and priming with 3M™ Scotchbond™ Universal Plus Adhesive as silane.
Total-etch using 3M™ Scotchbond™ Universal Plus Adhesive.
Air-drying of 3M™ Scotchbond™ Universal Plus Adhesive after application.
Using a rounded diamond flame bur for shaping
Application of 3M™ RelyX™ Universal Resin Cement (shade Translucent).
Initial attachment with pinpoint light guide.
Initial attachment with pinpoint light guide
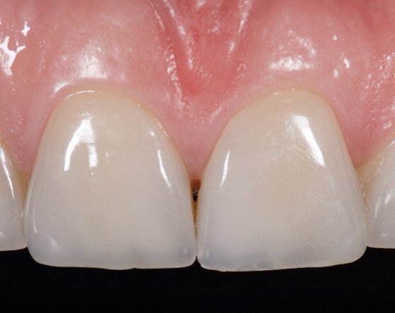
Both veneers in place after clean-up
Both veneers in place after clean-up. Note the perfect marginal integration of the ceramic and enamel.
Final result.