Clinical Case: Non-invasive Restorative Treatment of a Discolored Lateral Incisor
February 18, 2021 | Prof. Paulo Monteiro
About the Case
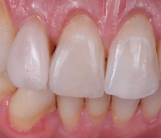
A 40-year-old male patient was unhappy with the discoloration on his maxillary right lateral incisor that appeared after endodontic treatment. An internal bleaching treatment had not resulted in the desired outcome, so a restorative treatment was needed to obtain a tooth shade similar to that of the adjacent teeth.
Internally discolored maxillary right lateral incisor.
Placed rubber dam and sandblasted teeth with 3M™ CoJet™ System.
Applied 3M™ Scotchbond™ Universal Adhesive.
Placed a thin layer of 3M™ Filtek™ Universal Restorative Pink Opaquer.
Appearance of tooth after 3M™ Filtek™ Universal Restorative Pink Opaquer placement.
Placed 3M™ Filtek™ Universal Restorative, Shade A1.
Modeled composite.
Light cured restoration through glycerin gel.
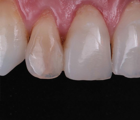
Created final high-gloss polish with 3M™ Sof-Lex™ Diamond Polishing System.
Final results.
Close-up view.
Refer to Instructions for Use (IFU) for complete product information. Results may vary.