Clinical Case: Solving Esthetic Issues in the Anterior Region with Composite
September 9, 2020 | Prof. Paulo Monteiro
About the Case
A 50-year-old male patient presented for professional tooth cleaning. He had deep erosive lesions affecting the vestibular aspects of his maxillary central incisors, which he did not consider an issue. Nevertheless, the team informed him about the options to improve the esthetics and protect the remaining tooth structure. The patient agreed to carry out a home-bleaching treatment followed by a direct restorative treatment with composite.
Composite, Shade A1, of 3M™ Filtek™ Universal Restorative was selected.
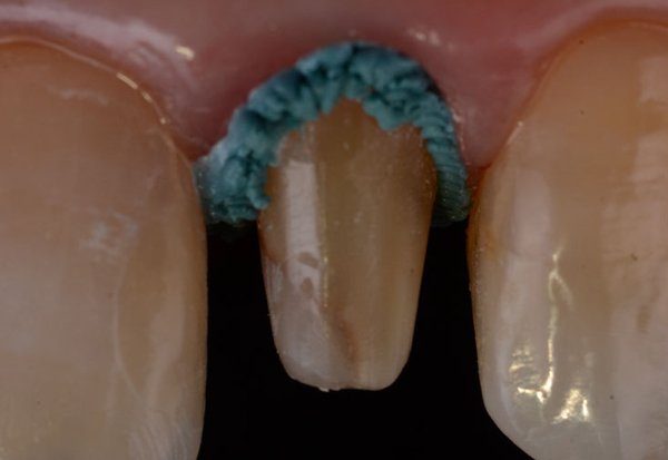
Rubber dam was placed. 3M™ Sof-Lex™ Extra Thin Finishing and Polishing Disc was used.
3M™ Scotchbond™ Universal Etchant was used.
3M™ Scotchbond™ Universal Adhesive was applied.
One mm of composite, Pink Opaquer, was placed.
First application of 3M™ Filtek™ Universal Restorative, Shade A1, was placed.
Second and final layer of 3M™ Filtek™ Universal Restorative, Shade A1, was placed.
Restorations after polishing with 3M™ Sof-Lex™ Diamond Polishing System.
Final outcome.
Refer to Instructions for Use (IFU) for complete product information. Results may vary.