Skip to main content

"We've detected that you're visiting from {0}. Would you like to switch languages for tailored content?"

About the Case:

The patient, a 26-year-old male, had severe bruxing and over the course of eight years had worn his teeth down to 5 mm (Fig. 1). After an initial consultation, our team determined that given his young age, we wanted to be as conservative as possible. We felt confident we could achieve long lasting, esthetic results by minimally prepping the teeth. We would only need to round the incisal edges and then bond veneers onto the upper and lowers.
Severe bruxing
The patient, a 26-year-old male, had severe bruxing and over the course of eight years had worn his teeth down to 5 mm.
The teeth were left untreated and a preliminary impression was taken and sent to the lab. The lab created a wax up with new vertical dimensions and milled a continuous top and bottom temporary restoration out of PMMA.
Preliminary impression
The temporaries were then tried in.
A minor rounding was done to prepare each tooth. This was done without any anesthetic, as the preparations were minimal.
Minor rounding
Temporaries air abraded
The temporaries were then air abraded and the teeth were spot etched.
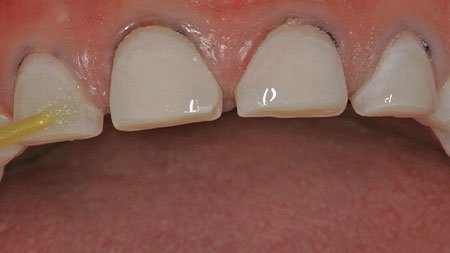
A thin layer of 3M™ Scotchbond™ Universal Adhesive was placed on the intaglio surface of the restoration and on the teeth.
Thin layer of 3M™ Scotchbond™ Universal Adhesive applied
The patient wore the temporaries for 12 weeks to ensure comfort with tooth size and shape.
Based on a prior impression, the lab created final restorations using IPS e.max® (Ivoclar Vivadent) for the upper arch. After a try-in, the intaglio surface of the restoration was etched with hydrofluoric acid and rinsed with water, and the entire preparation was etched with 3M™ Scotchbond™ Universal Etchant. Scotchbond Universal Adhesive was then applied to the restoration and preparation.
Final restoration
The final restoration was cemented using 3M™ RelyX™ Veneer Cement. Upon placement, excess cement was extruded from the restoration and was easily cleaned up. The same process was completed for the remaining teeth.
The final restorations provided the patient with a smile he was proud to show off and it was completed using an extremely conservative treatment. The patient is planning to complete treatment on the lower arch at a future date.