Clinical Case: Total-Etch Adhesive Cementation of a Zirconia Maryland Bridge
November 20, 2020 | Dr. Alwin van Daelen
About the Case
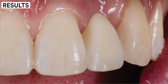
A 27-year-old patient with a congenitally missing tooth 22 received orthodontic treatment for three years, however no sufficient space for placing an implant was achieved, due to root proximity (wagonwheel effect). Treatment plan decision was to place a resin bonded uni-wing Maryland bridge. After extraction of the persistent deciduous lateral incisor, pontic site development was performed with the help of a removable retainer. A very shallow preparation of the palatal surface of the left central incisor with a small positioning groove was performed. A labially veneered zirconia bridge was fabricated and bonded with 3M™ RelyX™ Universal Resin Cement and 3M™ Scotchbond™ Universal Plus Adhesive following a total-etch adhesive protocol.
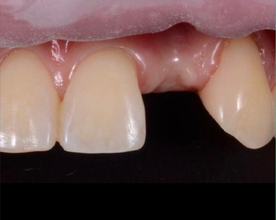
INITIAL SITUATION: Situation after extraction with flexible retainer for pontic site development.
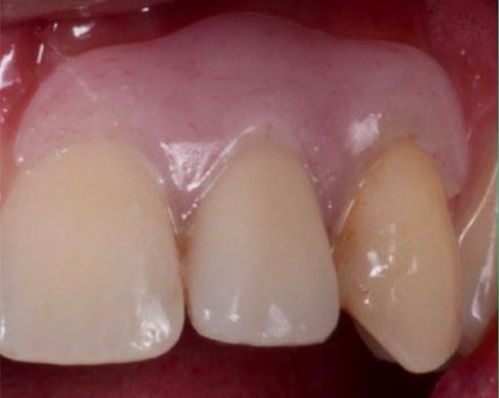
Developed pontic site.
Palatal view of preparation on model.
Maryland bridge with retention element. Pre-treated bonding surface by sandblasting and priming.
Prepared etching.
Applied 3M™ RelyX™ Universal Resin Cement.
Restoration in place after final clean-up.
FINAL RESULTS
Refer to Instructions for Use (IFU) for complete product information. Results may vary.