Skip to main content

"We've detected that you're visiting from {0}. Would you like to switch languages for tailored content?"

About the Case

Male patient (age 71) came to the dental office with a fractured left central incisor, which was initially treated with a core build-up and a provisional crown. An esthetic replacement of all 6 upper anteriors was suggested due to several insufficient restorations and loss of sound tooth structure. His posterior teeth were previously fully restored with crown and bridge work. The patient opted for tooth-colored, age-appropriate and natural looking all-ceramic crowns. He strongly wished for a layered restoration as incisal translucency was very important to the patient. The patient selected layered zirconia crowns.
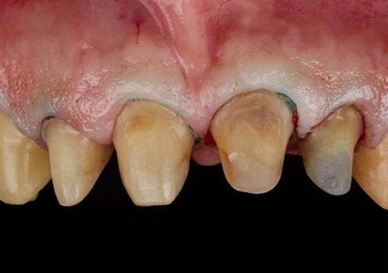
INITIAL SITUATION: Compromised appearance of upper anteriors with multiple restorations and fractured right central incisor.
Composite core build-ups and completed teeth preparations with retraction cord and paste placement before final impression using 3M™ Filtek™ One Bulk Fill Restorative and 3M™ Astringent Retraction Paste.
Composite core buildups
Final precision impression with VPS impression material
Took final precision impression in the 2-step technique using putty and light bodied consistency 3M™ Imprint™ 4 VPS Impression Material.
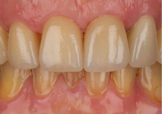
Final restorations showing 3M™ Lava™ Esthetic Fluorescent Full-Contour Zirconia crowns with desired incisal translucency.
Final restorations with esthetic zirconia crowns
Try-in of final zirconia restorations to check fit and esthetic aspects.
Application of 3M™ RelyX™ Unicem 2 Self-Adhesive Resin Cement into restoration.
Cementation of final crowns with self-adhesive resin cement.
FINAL RESULTS: Zirconia restorations in place one week after cementation. Patient was very happy with the final appearance of his seated final restorations; no post-op sensitivities were reported after final cementation.
Results of zirconia restorations