Clinical Case: Bulk Fill in Class II – Proximal Caries
February 12, 2024 | 3m
About the Case
We are looking at a second upper premolar with deep carious lesion close to the pulp. The challenge was to use additive dentistry to increase the thickness of the tooth. Enhance esthetics by improving shape and hiding margins and defects.| Learn more about the products used in this clinical case |
Radiograph of initial situation: second upper premolar with deep carious lesion close to pulp.
Preop: intact occlusal surface of the second premolar, carious lesion was visible on radiograph.
Insertion of a proximal wedge.
Customization of sectional matrix clamp.
Caries removal and cavity preparation. Caries detection dye was used as a diagnostic aid.
A 15 second selective enamel etch using 3M™ Scotchbond™ Universal Etchant followed by rinsing and air drying.
3M™ Scotchbond™ Universal Adhesive was scrubbed into the preparation for 20 seconds followed by air-drying and light-curing with 3M™ Elipar™ DeepCure-S LED Curing Light for 10 seconds.*
3M™ Filtek™ One Bulk Fill Restorative A3 was placed in one increment. The composite was cured for 10 seconds on the occlusal surface.*
After removal of the matrix band, the composite was cured for 10 seconds on both the buccal and lingual surface.*
After finishing and pre-polishing, the 3M™ Sof-Lex™ Diamond Polishing System on moist surface was used to create a high gloss polish. Clinical Tip: The unique, flexible shape of the 3M™ Sof-Lex™ Diamond Polishing System’s spiral wheels easily adapts to irregular, convex and concave tooth surfaces— reaching most exposed surfaces. Sof-Lex spiral wheels make it easier to work on challenging posterior teeth because the abrasive particles are embedded throughout all sides of the wheel. As a result, the spiral wheels are effective from any angle.
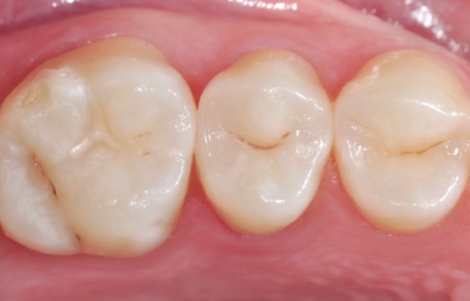
Final outcome using 3M™ Filtek™ One Bulk Fill Restorative.
Refer to Instructions for Use (IFU) for complete product information. Results may vary.
Clinical dentistry and photography by Dr. Jordi Manauta, Santa Margherita Ligure, Italy.
* According to the manufacturer’s Instructions for Use