Skip to main content

"We've detected that you're visiting from {0}. Would you like to switch languages for tailored content?"

About the Case

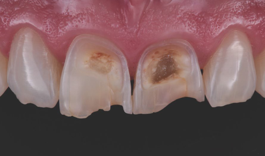
Patient had deep erosive lesions affecting vestibular aspects of maxillary central incisors. The challenge was to improve esthetics and protect the remaining tooth structure.
Learn more about the products used in this clinical case
Preoperative frontal view of the patient’s teeth, showing severe erosive tooth wear on the vestibular surfaces and incisal edges.
Detailed view of the maxillary incisors. The teeth didn’t show any highly translucent areas, so the use of a single shade/opacity of 3M™ Filtek™ Universal Restorative was selected.
Detailed view of the maxillary incisors
Lateral view of the anterior teeth revealed the depth of the lesions on the vestibular surfaces.
Tooth shade was determined with the aid of the VITA classical A1-D4® shade guide. The shade A1 matched the sound tooth structure. This corresponded with 3M™ Filtek™ Universal Restorative shade A1.
Tooth shade was determined with the aid of the VITA classical A1-D4® shade guide
The tooth was prepared under rubber dam using 3M™ Sof-Lex™ Extra Thin Finishing and Polishing edges Disc (coarse). Bevels were created, edges were rounded and the surface was roughened.
The preparation procedure resulted in a round form and a micro-retentive surface structure.
The preparation procedure resulted in a round form and a micro-retentive surface structure
Lateral view of the prepared teeth.
Lateral view of the prepared teeth.
Enamel was etched with 3M™ Scotchbond™ Universal Etchant for 15 seconds. A metal matrix strip was used to protect the adjacent teeth.
3M™ Scotchbond™ Universal Adhesive was applied to the rinsed and dried tooth structure. The adhesive was rubbed for 20 seconds, treated with a gentle stream of air for solvent evaporation, and light cured for 10 seconds.*
Two anterior matrices were placed to help create a natural anterior tooth shape and facilitate restoration of the interproximal and cervical margins.
Teeth with two anterior mactrics
A 1 mm layer of 3M™ Filtek™ Universal Pink Opaquer (PO) was placed onto the discolored sclerotic dentin to mask dark areas, and light cured for 20 seconds.* Clinical Tip: When a layer of 3M™ Filtek™ Universal Pink Opaquer is applied, the final result is a highly esthetic restoration that properly covers the underlying dark substrate and mimics the brightness and vitality of natural tooth structure. Too thin a layer and the underlying substrate will shine through. Too thick a layer and the restoration will appear opaque. For a 3 mm cavity, the ideal thickness of Pink Opaquer is 1.0 mm, which leaves space for 1.5-2.0 mm of 3M™ Filtek™ Universal Restorative body shade to be placed on top of the Pink Opaquer, resulting in optimal esthetics
Appearance of the teeth after the first application of 3M™ Filtek™ Universal Restorative A1 shade. No additional body shades were needed (to mask sclerotic dentin) when using the opaquer.
Appearance of the teeth after the first application of 3M™ Filtek™ Universal Restorative
Placement of the second and final layer of 3M™ Filtek™ Universal Restorative A1 shade.
Restorations after polishing using the 3M™ Sof-Lex™ Diamond Polishing System.
Restorations after polishing using the 3M™ Sof-Lex™ Diamond Polishing System.
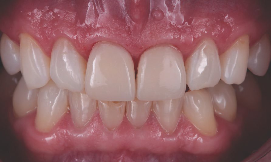
Final result
Treatment outcome immediately after rubber dam removal. The discolorations were gone, the restorations and the adjacent teeth had a similar shade, and a natural shape was achieved.