Skip to main content

"We've detected that you're visiting from {0}. Would you like to switch languages for tailored content?"

Let’s quickly review the current role of flowable composites.

When the first dental resin-based composites were first introduced by 3M in 1964, they were thought of as an “amalgam substitute”. In other words, we thought that we needed to place it in little increments and pack it, sculpt it, and carve it like we did with amalgam. When the first flowable composites were introduced in 1996,1 nobody was quite sure what to do with them, but we could see the definite advantages of an injectable material that instantly wets the tooth structure. What we have learned over time is that the more we manipulate composites, the more problems we can experience. Composite today is moving to being injected with little or no hand manipulation and flowable is an ideal injectable material. Today at the Bioclear Learning Centers, we teach flowable composites as in integral part of nearly every composite procedure.

Modern applications of flowables that we teach at Bioclear

1. As a surfactant that is placed before the regular paste composite in the injection molding technique and then co-cured together.

Informative oral care related imagery with a file name of final_resotrative_result_19.jpg shown on Solventum's "Brain Floss" blog
These images show the injection of a warmed flowable composite (e.g. 3M™ Filtek™ Supreme Flowable Restorative) which is immediately followed by an injection of warmed paste composite (e.g. 3M™ Filtek™ Supreme XTE Universal Restorative). The complex is then light cured together. The goal is to have 95% of the load bearing and facial areas to be the 3M™ Filtek™ paste material, which has a great track record for strength and shine retention. The flowable material fills in the nooks and crannies.

2. As a stand-alone, definitive restorative material in conservative occlusal fissurotomy based restorations or lateral “opportunistic” Class II restorations that have minimal or no occlusal loading.

Informative oral care related imagery with a file name of 09-1.jpg shown on Solventum's "Brain Floss" blog
Opportunistic access on the interproximal only is injection molded with 3M™ Filtek™ Bulk Fill Flowable Restorative. There is no paste composite necessary in this area because there are lower stresses on this novel restoration as it is below the contact and completely out of occlusion.

3. As a primary layer that is cured independently in posterior teeth when the interproximal is deeper than 4 mm on the occlusal or 5 mm in the interproximal.

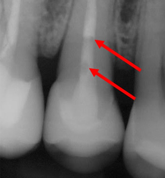
4. To restore the deep portion of the endodontic access, covering the gutta percha.

This discolored right central incisor will receive an inside-out bleaching technique after endodontic therapy. This radiograph of the discolored tooth shows a thin bonded layer of flowable covering the gutta percha to protect the seal during the inside-out bleaching protocol.

5. As a matrix manager such as in the Spot Weld/push-pull technique with the Bioclear Biofit matrix.

Informative oral care related imagery with a file name of 230310_Herobild_560x400.png shown on Solventum's "Brain Floss" blog
Two dots of Filtek Supreme Ultra Flowable composite are placed after etching and adhesion, but before injection molding. These uncured “spot weld” spots will be light cured momentarily.
The push/pull instrument (patent pending) applies lateral pressure to create a tight contact, plus expands the matrix buccal-lingually for a broad contact. This is a more modern version of burnishing. Burnishing was a common compromise necessary with metal matrices that lack appropriate shape.
Informative oral care related imagery with a file name of 23-10-2023_Blogarticle_2.png shown on Solventum's "Brain Floss" blog
Less magnified view of the push/pull instrument. Once the matrix is expanded and pressure applied laterally to appose the matrix against the neighbor, the dental assistant cures the dots of flowable which now locks in a tight and wide contact of the matrix against the neighboring tooth.

6. As a sort of dental duct tape that can be used in a myriad of ways to solve everyday problems.

This tooth was previously avulsed, replanted, and stabilized with the ortho bracket and wire. The endodontic isolation was made easier by using a temporary “horn” of flowable composite to keep the rubber dam pulled toward the palate.

The trouble with bubbles ...

The biggest complaint that clinicians report to me regarding flowable composites, is the bubbles that appear during syringing of the flowables. These bubbles in the flowable can be maddeningly difficult to eliminate. The bubbles are difficult to “pop” because of the viscosity of the resin. In desperation we give up on popping them and try to drag them outside of the cavity prep.
Two different flowables have been syringed onto dentoform teeth. Both samples have multiple bubbles. The bubbles in the lighter shade (right) are more difficult to see.

Two times when bubbles are discovered too late ...

1. Bubbles visible on radiographs

Informative oral care related imagery with a file name of Giuseppe-Chiodera-Fig.-7_rz.jpg shown on Solventum's "Brain Floss" blog
In follow-up radiographs, two bubbles are visible for this endodontically treated tooth. It is embarrassing and hard to explain to patients. These bubbles drive endodontists crazy.

2. Blemishes on the restoration caused by bubbles

When a bubble leaves a divot on the surface of a composite, blemishes with embarrassing discoloration can occur.
A small bubble in the composite has significant stain that the patient complained about, and in fact was the reason they left their previous dentist.
This bubble in the conservative Class I Fissurotomy preparation is an all too common sight.

Conclusion

There’s a lot to love about flowable composites. They’ve become integral to the modern practice for most restorative dentists. While flowable materials and modern techniques continue to improve, I also see promise in new delivery systems. I’ve been evaluating 3M’s new syringe design for their flowable composites. This new innovative design has the potential to reduce bubbles in our procedures and give dentists more control.